Breaking my leg wasn’t on my 2024 vision board

A year ago yesterday, 16th February 2024, at 9pm I broke my leg in 3 places. I missed the last of 3 steps leaving Mum and Dad’s house after having (very nice) fish and chips for tea.
I had the dog under my right arm as always, wrapped up in her blanket and in her bed ready to go home, and as I went down the 3 steps that I’d been down hundreds of times, I was looking ahead not down and my brain just seemed to forget there was a 3rd step and thought there was 2.
So as I went from the 2nd to what I thought was the ground, the gap started to feel longer in time than it should as I stepped down.
I know people say this but it really did feel like slow motion. In what I imagine was about 1-2 seconds max, without having time to think, I twisted my whole body to the left to make sure the dog landed on me and not me on her.
It worked - she landed (albeit probably very shocked) safely on top of me and came out unharmed (thank goodness). Me however - not so much.
I let out a howl on the way down which carried on as I hit the deck, and the pain was incredible. My friend was with me and had been in front so I think heard me before she saw me. I remember shouting “take the dog, take the dog” which she did, and Dad was stood over me offering a hand up - no way - this pain was like nothing I’ve ever felt before.
I laid there for a bit, waiting for the burning to pass - you know when you twist your ankle you get that initial burn? I just thought lets see a minute if this passes.
I gave it a couple of minutes, still so painful. I gently tried to lift my leg up and my whole ankle just wibbled. I don’t know what other word to use but wibble - moving, dangling, just generally wibbling on its own. I looked up at my friend and said “did you see that?” - “yes” she said. Hospital it is then.
Luckily, our local hospital is only 10 minutes away, and also luckily we’d bought mum a shiny new wheelchair some months before, so somehow we got me into that, and wheeled me to my campervan - only my friend would need to drive.
I don’t really remember how I got in the van, my friend said I sort of crawled in, and I ended up laid sideways on the floor in the back, with the wheelchair half on top of me.
The drive to the hospital, ooof. I felt every bump in the road and it felt like we were going so fast! We were in fact only doing 40mph but laying down in the dark in the most immense pain it felt very different!
We got to the hospital about 9.30pm - Friday night in A&E honestly was like an episode of Eastenders. It was standing room only for non-patients, there were people literally everywhere.
There was a guy with a Mr Bump style bandage around his head and blood dripping down his face like something off the telly, a woman on all fours with some sort of dish in her hands making a wretching sound every minute or so, a woman who faked a fit after kicking up a fuss about the wait time, and all sorts of other drama. I remember there was also a lady wearing some really terrible green leggings that were too small and too low, we all got to see far too much of her behind that evening.
I was triaged a while after I got there and the triage nurse said it was likely a sprain. I said I didn’t think so, it was moving on it’s own, I hoped she had taken that on board but looking back now I’m pretty sure she did put suspected sprain not break - because I was there A WHILE waiting to be seen after triage.
Finally I got to see someone, maybe around 1am ish I think, we had a chat, and they said they weren’t sure about whether to x-ray. I couldn’t understand why the wibbling part wasn’t giving it away right away that it was broken?! They agreed to x-ray and off I went.
Shockingly up to this point I hadn’t cried, which is weird because I am a massive wimp. Maybe the shock kept me from crying I don’t know, but during the x-ray the person bent my foot hard to the side - we didn’t know at that point there was a massive break exactly in that area. Oooooh I let out a noise then! Then they said “ok, we’ll just take the image from the side instead”. WHAT?! Why didn’t you do that in the first place?! The PAIN!


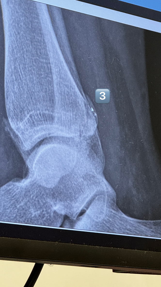
Above: my 3 breaks
Eventually, about 3am I think, the images came back - 3 breaks. They said I’d see a consultant who would decide it if just needed casting or of I would need surgery. ‘SURGERY!” I shouted (literally shouted) in surprise. The nurse looked at me and said something like “yes, you’ve done quite a job here!” (smiling I might add!).
I couldn’t believe it, I’d never broken anything before, and I’m such a wimp, I was instantly petrified. I had a while to digest that a bit before they said I could see the consultant, and wheeled me into Resus. So now I’m thinking “Resus, why the heck am I in Resus, am I likely to need resuscitating?!”
They hooked me up to all sorts of machines with wires, did an ECG (I think) and started talking about what was going to happen next. The short version is that they were going to give me this green whistle full of super strong drugs to inhale, while someone crushed my bones back into position and another couple of people casted it up prior to surgery, then surgery in the next 48 hours.
One of the nurses kept telling me that “most people don’t remember it with these drugs” and “you’ll feel it but these drugs will take a lot of the pain away”. Well, that was the same nurse who told me the cannula wouldn’t hurt - liar! Oh my goodness the PAIN!!!
It does feel a bit blurry trying to remember but I do remember the sound I was making, it was like a long animal grunt type of sound, maybe like the noise you make when you’re heaving a really heavy piece of furniture, a deep noise.
I could feel the force of them crushing my leg and it was so intense. My friend was with me to watch this part - she said their hands and arms were physically shaking as they were crushing my leg back together.
She also said at one point I opened my tightly shut eyes and apparently lifted up the other leg (which I’d also badly sprained on the way down) up in the air - she said “I thought you were going to kick him in the face!” - I didn’t, I don’t know what that was about!
They wrapped me up in cast and gave me a load of meds and said I could either be admitted while I wait for surgery or go home, but if I went home I was to promise to lay still and horizontal with my leg up high for 23.5 hours per day, I could move only to go to the toilet.
I wanted to go home and get a bag sorted so that’s what happened. My friend took me home, got me on the sofa and then I facetimed her while she was upstairs and I was downstairs to rummage around in my drawers and get me everything I might need for a hospital stay!
Luckily I didn’t need to wait long for surgery. The hospital called me at 6am the next day to say they’d had no trauma in overnight that night so I could be operated on that day. I’d been nil by mouth overnight in case so I was ready to go.
After a few hours stay on a bed first parked in someone else’s room, then in a corridor for a while I think I went into surgery about 3pm. They said they were giving me a local anaesthetic in the back of my leg before surgery to act as a pain block for the next 24 hours, and that took ages. There were 2 of them waving the ultrasound machine up and down the back of my leg for a good 20 minutes of so before they found a spot they were happy with the put their needle. That wasn’t a fun time as I had to lay on my side for it which was so painful. After that, they got me on my back, put the general anaesthetic mask on and I was gone.

Above: my metalwork
I think it was around 5.30pm that I came round in recovery with 9 screws and a metal plate in my leg. The pain - crikey. It was at it’s worst. And I was also STARVING! Every time I wailed with pain I heard a doctor say “give her more x”, “another dose of y” - apart from the moaning and groaning of pain I was totally consumed with how hungry I was! I was saying to the doctors “is it safe for me to have all this medication on an empty stomach?!” 😂 I just couldn’t stop talking about it, I kept asking the nurses if there was any scrap of food about that I could eat, a couple of biscuits perhaps? They just kept saying they didn’t have anything - I mean why would they! Recovery is for drugs it’s not a restaurant! However, after me going on and on a kind nurse said that someone had bought in doughnuts today for a birthday and I could have her doughnut! “I can’t take your doughnut!” I wailed! But she insisted, so I did - it was the best doughnut I’ve ever had.
After they were happy with me I was taken to a ward, I actually had my own room, which overlooked the Spinnaker Tower in Portsmouth - very nice if it were a hotel stay perhaps but slightly ruined by the incredible pain and sounds of wailing from the rooms around me.
It was a horrific night. My experience in the hospital up to this point had been good. Despite the wait in A&E they were really great, and the surgery part had all been quite smooth. But onwards from this point it all took a bit of a downturn.
Obviously I was in pain (searing, hot pain) and there is only so much they can do to ease that, but through the night and into the next couple of days it was a bit of a nightmare. I’d press the button for help and no-one would come, press it again 20 minutes later and be waiting another 20 minutes. When people came in they went off to get other people who didn’t come back for another 30 minutes, I needed pain relief now, not in an hours time. And it didn’t feel like lack of staff, there were people everywhere, it just felt chaotic and I was just in so much pain and wanted help.
The night took forever to pass, trying to go to the toilet using a bed pan whilst in pain like that was also a treat, but I’ll spare you the details.
The next day after morning checks, meds, 2 slices of cardboard toast and a few other people coming in and out a physio came in and said “right let’s get you up and walking so you can go home this afternoon”. Say what? Walking?! I asked her how she thought I’d be able to walk with one broken leg and the other one so badly sprained. I couldn’t believe she was even suggesting it! “Well let’s just have a go” she said. I just looked at her again in disbelief and said “how?!”. She asked me to shuffle down the bed and swing my legs around.
I had one of those attractive hospital gowns on where your entire back half is exposed so that was lovely for everyone, I shuffled down as asked, got on the side of the bed and gently rested my feet on the floor. She put a walking frame in front of me and told me to get up. I also had a cannula in my left hand at this point which was pretty painful, so I only had one limb - my right arm fully in tact. I just couldn’t see how I was going to get upright, never mind move.
I put all the weight I could through my right hand to get me up and just stood there, in loads of pain, not knowing what to do. “Hop!” she shrieked at me. “How?!” I barked back, “I have no working legs, I can’t move them". “Just hop!” she shrieked again! I started getting angry, how many times did I need to explain that neither leg worked, walking was not an option and I was in horrific pain - oh and I needed a wee! “Right, I’ll get the commode” she barked and marched out of the room. “No, I don’t need a commode I said, just put me in the wheelchair and I’ll slide myself onto the toilet”. She was already gone.
She’d left a junior person with her who was in training. “Grab me that wheelchair please” I said to her, she stumbled “err, erm, I can’t, I have to wait for her”. I said to her look you either get me that wheelchair or I’m getting back in the bed now and will wee in front of you there! She sheepishly got the wheelchair for me, and off we went to the toilet. When the physio came back in to see me on the toilet she was not happy - “I’ll be back later” she huffed. I didn’t see her again!
I got settled back down after that, still on lots of pain and mid afternoon a nurse comes in… “I’m taking you for a CT Scan”. “Oh right, what’s that for?” I asked. “I don’t know I’ve just been asked to take you”. Off we go down the corridors, in the lifts, parked up outside a room and then left.
A while later I’m finally taken into a room with a big machine. I get onto a bed in front of it and ask again what I’m having the scan for - they couldn’t answer. They left the room and I was in there alone for ages wondering whats going on, staring up at an image of my leg on a screen. The person comes back in and asks “have you already had surgery?” - wtf? Errr yes, and you should know that!
Turns out I should have had that scan BEFORE surgery not after. I don’t know what the consequences could have been of me not having that prior to surgey as I’ve chosen not to focus too much energy on it but I don’t think it’s good as a consultant came to see me a day later full of many apologies and explanations about what they would do to make sure it didn’t happen again. So apart from whatever that was, it was also an hour or so away from any pain relief in a very cold corridor and room that I didn’t need or enjoy!
That night as I settled down to try and get an ounce of sleep, just as the lights had gone out someone bounds in “I’m taking you to a different ward!”. Brilliant. I get all my stuff piled up on top of me to be wheeled away and an hour later I’m still laid there under a pile of crutches, bags, electronics, walking frame etc.
We finally get to this new ward and it was like a night at the zoo, snorers, shouters, wailers, all sorts. The next morning I was exhausted from a 4th night of no sleep. I finally got off around 4am to be woken up at 5 for blood pressure - the nurse says “your blood pressure is low, you need to drink more water”. “I have no water I’ve asked for some” I reply, she says “I’ll get some”. An hour later and 2 buzzer presses still no water - you woke me up to tell me to drink water then don’t give me any - excellent. I just wanted to go home by this time and decided that whatever happened I needed to get out today.
Come 9am the meds rounds were on the go. The nurse said to me “how much codeine would you like?”. “Huh?” I replied, “I don’t know, how much have I been having?” “Well it’s varied so how much would you like?” “I have no idea, I’m not a doctor” was my response! “I’ll give you 15mg” she said. Then gave me a pot with that and another tablet I didn’t recognise in it. “What’s this tablet?” I asked. “That’s for your stomach” she replied. “But I haven’t been taking anything for my stomach, are you sure these are for me because I could’ve sworn you called me Penny?" Her face dropped. She’d given me someone elses meds - and I’d nearly taken them. She mumbled lots of apologies and then someone came back to give me my correct meds. Quite the mistake.
Eventually that afternoon after what I must say was a delicious lunch with some rice pudding to finish it off the consultant said I could go home. He reminded me for the 50th time it was a very complex break, I should expect it to be a good 12-18 months to feel anything like ‘normal’ again and that I should expect arthritis within 5-10 years (something to look forward to).
I came home on the Tuesday, it had still only been 3 days since the break, so still lots of pain and lots of meds. On top of all the pills I was to take injections into my stomach every night to help with the risks around blood circulation and the like. I’m ok with all the pills but the thought of injecting myself was not nice - and it turned out to be the worst part of the day for me, I had those for at least 2 months and my stomach was just covered in bruises.
Trying to find a new unbruised spot each night before bed was utterly miserable. If I had to do this again I’d switch injections to the morning to get them out of the way, because i found myself spending all evening dreading bedtime because it meant injection time (followed by no sleep!).
Because the other leg had been sprained too, I still couldn’t walk at all which definitely meant no going upstairs in my house. So everything I needed was moved downstairs to be near me.
I had to keep hold of mums wheelchair and use that to move around the living room a bit, to get to my downstairs toilet, and wheel myself into the kitchen. But it’s not one of those wheel yourself wheelchairs, it’s one designed for people to push you, and I live alone, so I had to move myself - but my legs didn’t work so I used my crutches as kind of ski’s - to try and propel myself a meter or so at a time towards wherever I was trying to go.
I bashed up my doorways, whacked both legs on things repeatedly, and nearly tipped myself out a few times but I found ways to get around the bottom floor of my house. I didn’t however, have anywhere or way to wash. I had a downstairs toilet with a tiny sink but that was it, and I couldn’t stand up to have a strip wash as my legs didn’t work. It was miserable.
I just did the best I could, and started to master the art of rotating a small number of clothes, washing and drying them in the kitchen, ordering food to be delivered that I could microwave because I could reach that from the chair, and just finding ways to do things sat down. Everything just took forever but I found a way to do everything after a while, and much trial and error.
I had a craft trolley in the understairs cupboard from Hobbycraft, full of junk and unfinished projects. I sat, parked myself up in front of the cupboard, slowly emptied it, slung everything but the trolley back in the cupboard on the floor and dragged it back into the living room.
That thing was my saviour - I stored all my meds and needle bucket in shelves 2 and 3 (along with some emergency chocolate and snacks!) and had makeup, wet wipes, toothbrush, dry shampoo etc in the top shelf so I could get ready for work in the mornings and try and look presentable - from the top half at least!

Above: 1 of my meds shelves
Work, yes. I was working for the civil service as a contractor at the time so no work = no pay. I went back on the Wednesday after just 2 days off.
I worked from the sofa (also my bed), full of pain and meds, with my laptop balanced on my knees and did that until the end of March when my contract was due to finish. It was hard but the people I worked with were great and happy to make some adjustments to allow me to continue working.
Outside of the day job, just a month before the accident I’d launched my Make Your Own Paper Plants subscription box business. I plan to talk in detail about the launch of that in another blog so I’ll save that for now, but on the day I broke my leg my very first boxes were landing.
It was supposed to be a day of celebration but obviously life had other plans. On my phone from that night I’ve got some pictures saved (in between hospital and x-ray pictures) of the very first plants that were made that day, they were one of the things that kept me going that night, when I was in hospital and the days after.
The shock and misery of what had happened and the recovery to come was huge, but every few hours I was getting a picture sent to me of someones little plant that they’d made - it felt amazing and really made me smile through some of the pain.
All I could think about was how on earth I was going to be able to get next months box designed, prepped, packed and posted from the sofa with no legs to move around with, and I had my very first in person show coming up - the RHS Urban Show in Manchester.
It wasn’t until April but I knew I wouldn’t be walking by then and I needed to transport all my stock and stand equipment half way up the country, build my stand and then actually do the 3 day show.
I spent day and night trying to figure out how I could pull all of it off, but I knew had to do it. I cancelled everything else I had planned (including a front row ticket to see Steven Bartlett speak - I was really upset about that) and focussed all my energy on how I could pull off the show, keep sending my boxes, and try to grow my new business.
I decided not to look for a new contracting job, and that I’d give myself a couple of months to start recovering, get my monthly boxes out, and prep for the show. It was like a military operation (right up my street to be fair, just without the pain would have been better).
First the monthly boxes, I needed to film and edit a tutorial, design and print the inserts, print the leaves, cut the leaves, cut the pearl papers, bag the stones, cut the stems, wrap the pots, write the thank you cards, fold the tissue paper, prep the craft supplies, pack the boxes, create the postage labels and get them posted, and I had 23 days before March’s boxes needed to go out.
Everything I needed was in my conservatory which I use as my office. To get to it you go through the living room (where I was camped out) and over a small threshold. The threshold is higher than normal ones as it used to be double doors into the garden before I added the extension. The issue was getting over it in the wheelchair, it was too big to be able to wheel over.
So… I had to wheel up to it, fling the walking frame over the other side of it, get myself upright, hop over it with the unbroken leg, then half turn on that leg, and while still holding onto the walking frame with one hand to keep upright, use the other hand to try to haul the wheelchair over the threshold and then fling myself back down into it (hoping it doesn’t slide away as I get in). It was an absolute mission.
A trip from the sofa to the office and back was minimum 25 minutes and I had to do it over, and over, and over again daily because I couldn’t transport anything much in one go. Honestly it was never ending.
In just over 3 weeks, incredibly slowly, as well as generally just trying to live in a permanent sat / laid down position with my leg higher than my hip at all times (not fun or comfortable AT all), I managed to get every box packed and ready for posting. And then I started again for April!


Above: the annoying door threshold and February's painstaking posting!
Meanwhile the RHS show was looming. I had no way of getting there and no idea how I was going to navigate my way around Manchester in a wheelchair alone and man a stand for 3 days straight (as well as the build up and take down of the stand).
My 2 big problems were helpers and transport. Thankfully I managed to fix the people issue pretty quickly, with 3 amazing people travelling to Manchester stepping in to support me across the 5 days. I couldn’t have done it without them, literally.
The transportation though, of me, and all my stuff was a problem. I couldn’t drive, I couldn’t expect any of my friends to take 5 days off to help me and drive me and all my equipment up there in a van, I couldn’t find a courier that would take my equipment and me, I couldn’t line up a courier for my equipment and me go on the train (somehow?!) because I needed to be at both ends to hand it over and receive it, I just could not find a solution.
So I started trawling the show map for other businesses that had a stand at the show, I googled every single business to see where in the country they were to see if they were near me and I could perhaps travel with them.
Every search was someone far away, I was so desperate I just kept searching and finally found a business in Portsmouth that had a stand. I messaged them on Instagram and they agreed to call me to chat about it.
They not only agreed to help me, but offered to take 2 vehicles up there and back to be able to to get me and all my belongings where they needed to be - what a miracle! Again, these people I just couldn’t have done the show without them.

Above: the journey up to Manchester in a very small front seat with a leg that needed elevating!
The show itself was such an experience, in lots of ways. Firstly it was hard, so exhausting. I know it would’ve been this anyway, but the day before where we had to build the stand, doing everything from a wheelchair with a friend helping was an extra level of frustration, tiredness, and slow slow progress, it took 9 hours to get it built but I was incredibly proud of how it turned out, it felt like a little corner of my house, I loved it and I got some really great feedback on the design.

Above: my stand
Seeing in person reactions to my plants for the first time was incredible. Although by this time I’d been making and selling them for over 2 years I had never seen a stranger see my plants for the first time and see their reaction, it was so cool, like really amazing.
The most used word of the weekend was “CUTE!” being exclaimed as people stepped in to have a closer look. I’ll never forget the feeling when there was crowds of people all around my stand, I honestly couldn’t describe it, to see something you’ve created having such an amazing response and people taking pictures and saying kind things - amazing.


Aside from the physical logistics of navigating the show part-wheelchair part-crutches, there wasn’t just the physical challenge, something really unexpected happened from morning 1 of the show.
I would always have a friend with me across the 3 days and when at my stand I would mainly be sat in the wheelchair, with my friend next to me. Now in hindsight I would probably wear something different next time to try harder for people to associate me with the stand but I was trying to make it clear when people came over it was my stand by saying hello, welcoming them, chatting about what they’d bought and such but despite this, all day every day when people were looking for help they would look to the person I was with and not me.
It felt like I was completely invisible. I’d wait to catch their eye if I could see them turning to talk to someone, and even say “can I help?” and they’d just look to the person stood next to me and say “is this your stand?” or start asking them questions. It dawned on me pretty quickly it was the wheelchair, it was making me invisible. A whole new type of empathy for others I hadn’t felt before.
As a side note this type of thing happened quite a lot when I was out and about in the wheelchair. Another example is I was in a restaurant and bar with friends, 3 of them already had drinks and 2 of us didn’t. We’d ordered drinks to the table for us 2 and the waitress gave one to my drinkless friend and the 2nd to someone that already had a drink leaving me drinkless when it was obvious I had no drink. I felt again, totally invisible.
We (me and my pals) got through the show and as I said it was totally exhausting but I’m so pleased I did it. When my and all my boxed up belongings finally got home it took well over a week to recover and unpack everything. I was able to walk around the house on crutches by then but couldn’t carry anything as well as move so was using the wheelchair as a trolley moving things between rooms with it (including dinner!).
After a good while of getting off the crutches and being able to walk in the boot I was desperate to be able to walk in a shoe again. My foot felt like it was made of glass and putting weight on it terrified me but come mid May I managed to take my first steps on crutches out of the boot. I just wanted to be able walk, to sleep upstairs and drive again, they were my main goals.
Getting upstairs was tricky because I couldn’t use the crutches on the stairs, and I needed to carry the dog up and down too (as she’s too small to climb stairs) - so I had to go up on my bum, with her in a dog bag hung around my neck - it was quite the procedure, but they only way to get us both up and down safely.
We did that for weeks and then once I could walk up holding onto the bannister I still had to keep her in the bag round my neck as I needed the arm I’d usually hold her with to cling on to the bannister while holding the wall with the other to keep my balance - it was hairy!
In terms of recovery, I’ve never been a very energetic person, so I don’t need to be able to run, hike, or anything like that in any kind of hurry, I just wanted to get back to some sort of normal.
I started driving again in June, and that was like having the ultimate freedom back, amazing. Pain-wise I’ve not had a day without pain since it happened. Obviously at first that was all day every day, then gradually it gets better, but it takes a long time - and day to day, week to week you don’t notice much difference. But overall of course I’m back to a reasonably normal life.
Some things have changed though, I haven’t drunk alcohol in over a year - I’m clumsy anyway and I’m worried I might have an accident if I drink. I tend to avoid crowds now for fear of getting bumped or knocked, this is getting better but really made me quite anxious at first. I can’t sit or lie in some of my previous most comfortable positions, so I’m even more of a fidget than I was. My right foot is pretty cold a lot of the time, I guess something to do with nerves and circulation maybe. I’m slow moving, so have to allow a bit more time for things.
A year on, stairs and I still have a complicated relationship, but at least now I take them one step at a time – literally and metaphorically.
Breaking my leg should have been a full stop – a reason to press pause on everything. But life (and business) doesn’t wait. Despite the pain, setbacks, and wheelchair hurdles, I kept going – because when you build something you love, you find a way. Even if that way involves a craft trolley full of snacks and meds, a military-style logistics operation to pack boxes from a chair, and a very creative approach to getting up the stairs with a dachshund in a bag around your neck.
This past year has been tough, but it’s also taught me that obstacles don’t mean stopping – they just mean adapting. And sometimes, the only way forward is to keep moving, even if you have to do it differently than before.

